您好!欢迎访问通宝TB888生物(青岛)有限公司网站!
基础医学科研服务者无忧 可视 高效 专业
全国咨询热线:17657166935
当前位置: 首页 > 科研服务 > 病理学检测 > HE病理染色
通宝TB888

电话:17657166935

QQ:2301757537

地址:山东省青岛市城阳区上马街道河东路上马科技企业加速器202室

邮箱:longkesci@163.com

HE病理染色

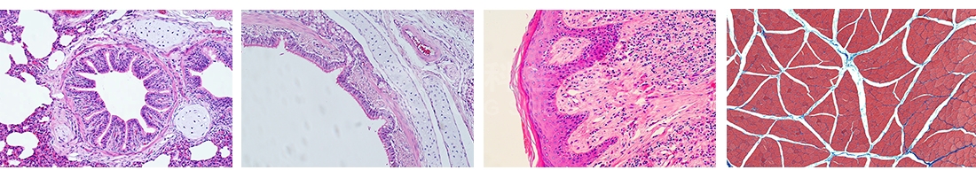
HE染色,即苏木精-伊红染色法,是组织学、胚胎学、病理学教学与科研中最基本、使用最广泛的技术方法。它主要用于染色细胞核和细胞质,使得细胞核呈现蓝色,细胞质和细胞外基质中的成分呈现红色,从而清晰地区分出细胞的不同部分。

HE染色,全称苏木素-伊红染色法(Hematoxylin and Eosin Staining),是一种常用于组织学和病理学的染色技术。这种染色方法可以清晰地区分细胞核和细胞质,其中酸性染料伊红使细胞质以及胞外基质呈现红色,而碱性染料苏木素则使细胞核内染色质和胞质中的核酸呈现蓝紫色。HE染色是石蜡切片技术中最基本、最常用的染色方法之一,广泛应用于组织学、病理学检测及科学研究等领域。

通宝TB888生物提供一站式技术服务,包括组织包埋、切片、细胞培养、细胞爬片、染色和图片采集等。

HE染色步骤

1.取材与固定:客户提供新鲜或福尔马林固定的组织样本,服务提供商负责进行石蜡包埋与组织切片。

2.脱水透明:将组织样本进行脱水处理,然后进行透明化处理,以便于后续的染色步骤。

3.浸蜡包埋:将处理好的组织样本浸入蜡中,然后进行包埋,以便于切片。

4.切片与贴片:将包埋好的组织样本进行切片,然后将切片贴在载玻片上。

5.脱蜡染色:将切片进行脱蜡处理,然后进行HE染色,染色完成后进行拍照和图像分析。

HE染色的重要性和应用

HE染色的重要性在于它能够清晰显示组织和细胞的形态结构,以及病变的特征。通过HE染色,研究者可以观察到细胞核的大小、形状和染色深浅,细胞质的分布和染色强度,以及细胞之间的关系。这些信息对于疾病的诊断、病理变化的分析和生物学研究都至关重要。

实验结果展示
HE染色病理切片技术服务

产品咨询

留言框

  • 您的单位:

  • 您的姓名:

  • 联系电话:

Services相关服务
 
通宝TB888
网站地图